Bắt vít niềng răng là kỹ thuật hỗ trợ phổ biến trong chỉnh nha, giúp tạo điểm neo vững chắc để di chuyển răng hiệu quả hơn, rút ngắn thời gian điều trị 20-30% so với phương pháp thông thường. Vậy nhưng ít ai biết bắt vít niềng răng bao lâu và khi nào thì bắt vít. Bài viết này sẽ giúp độc giả hiểu hơn.
Nội Dung Chính
Vít niềng răng là gì? Bắt vít niềng răng là sao?
Minivis có hình dạng xoắn ốc như đinh vít, kích thước nhỏ gọn với đường kính chỉ khoảng 1,4 – 2 mm. Thông thường, minivis được chế tạo từ vật liệu Titanium an toàn với cơ thể, có độ tương thích sinh học cao và không gây kích ứng niêm mạc.
Bắt vít niềng răng (hay còn gọi là cắm vít chỉnh nha, cắm minivis) là kỹ thuật sử dụng các vít đặt tạm thời vào trong xương hàm, để làm điểm neo cố định cho việc di chuyển răng trong quá trình niềng. Khác với mắc cài và dây cung truyền thống phụ thuộc vào răng khác làm điểm tựa, vít chỉnh nha cung cấp lực ổn định, hướng đi chính xác và giảm hiệu ứng phụ không mong muốn lên răng khác.

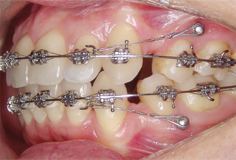
Bắt vít là một thủ thuật hiệu quả trong niềng răng
Vậy bắt vít niềng răng mất bao lâu? Quy trình đặt vít thường rất nhanh chóng, chỉ mất vài phút đến nửa tiếng. Bác sĩ sẽ xác định vị trí an toàn và vặn vít vào xương ổ răng, phần đầu vít lộ ra ngoài để kết nối với dây cung. Sau hoàn tất mục tiêu chỉnh nha, vít sẽ được tháo ra dễ dàng, vết thương thường lành nhanh và không để lại sẹo lớn.
Công dụng của cắm minivis niềng răng
Công dụng của việc cắm vít niềng răng:

Công dụng của cắm minivis niềng răng
- Rút ngắn thời gian điều trị, tăng độ chính xác, giúp bác sĩ kiểm soát lực kéo hoặc đẩy răng chính xác mà không làm ảnh hưởng đến các răng lân cận.
- Giảm nhu cầu nhổ răng trong một số trường hợp và hạn chế dịch chuyển không mong muốn của các răng làm neo.
- Hỗ trợ hiệu quả các ca phức tạp như răng hô, móm, lệch hàm, cười hở lợi,…
- Minivis rút ngắn thời gian niềng xuống còn 6-12 tháng, tăng vẻ thẩm mỹ và giảm nguy cơ tái lệch sau điều trị.
Những trường hợp cần bắt vít niềng răng
Bắt vít niềng răng rất cần thiết cho các ca chỉnh nha phức tạp, khi điểm neo từ răng tự nhiên không đủ để kiểm soát lực di chuyển chính xác. Đó là:

Những trường hợp cần bắt vít niềng răng
- Răng hô vẩu nặng: Răng bị chìa ra ngoài làm mất cân đối hàm, lúc này minivis tạo neo cố định, tăng lực kéo răng về vị trí mong muốn mà không ảnh hưởng răng lân cận.
- Người bị lệch hàm, khớp cắn sai: Răng không đều dẫn đến khớp cắn lệch, vít hỗ trợ kéo thẳng hàng răng, điều chỉnh tỷ lệ cung hàm hiệu quả hơn so với phương pháp truyền thống.
- Những ca niềng khó do bị hô hoặc móm nặng: Răng hô hoặc móm nghiêm trọng cần lực mạnh để thu về, lúc này minivis đóng vai trò neo tuyệt đối, rút ngắn thời gian 6-12 tháng so với niềng thường.
- Người có xương hàm cứng, khấp khểnh: Xương dày khiến răng dịch chuyển khó, vít tăng lực kéo ổn định, kiểm soát răng lệch lạc hoặc khấp khểnh chính xác, lấp khe hở nhanh.
- Cười hở lợi hoặc răng ngầm: Di xa toàn hàm, đánh lún răng hoặc làm trồi răng ngầm, lúc này minivis hỗ trợ các động tác phức tạp này an toàn và đảm bảo thẩm mỹ cao.
Bắt vít niềng răng bao lâu?
Rất nhiều người dùng thắc mắc vậy niềng răng bao lâu thì bắt vít? Trên thực tế, thời gian đặt vít niềng răng thường được tiến hành sau khi đã đeo mắc cài khoảng 3–6 tháng. Quy trình cắm vít có thể kéo dài từ 1 đến 2 giờ, tùy vào số lượng và vị trí cần đặt vít.
Trước khi thực hiện, bác sĩ sẽ gây tê cục bộ nên bệnh nhân hầu như không cảm thấy đau, chỉ có thể nhận thấy cảm giác áp lực nhẹ khi khoan và vặn vít titanium vào xương hàm. Sau khi cố định, các vít này thường được duy trì từ vài tháng đến vài năm, thông thường là 6–24 tháng, nhiều trường hợp là 12–24 tháng (tùy vào mức độ sai lệch của răng và kế hoạch điều trị). Khi mục tiêu chỉnh nha đạt được, việc tháo vít diễn ra nhanh chóng, mỗi vít chỉ mất khoảng 5–10 phút để gỡ bỏ.
Lưu ý gì khi cắm vít niềng răng?
Trong quá trình cắm vít niềng răng, bạn cần lưu ý một số vấn đề sau:

Một số lưu ý khi cắm vis niềng răng
- Chăm sóc vùng xung quanh vít thật nhẹ nhàng, dùng bàn chải kẽ hoặc tăm bông thấm nước muối lau quanh chân vít, kết hợp nước súc miệng kháng khuẩn để phòng nhiễm trùng, tránh dùng bàn chải điện vì rung có thể làm lỏng vít.
- Trong vài ngày đầu nên kiêng thức ăn quá dính, quá dai, quá cứng hoặc đồ ăn có nhiệt độ và vị quá kích thích (nóng/lạnh/chua/cay), để tránh thức ăn kẹt vào đầu vít gây rung lắc hoặc tổn thương niêm mạc.
- Hạn chế hoạt động mạnh, va chạm vùng hàm hoặc các động tác há miệng quá lớn để không làm bật vít.
- Nếu xuất hiện tình trạng sưng đỏ, đau kéo dài hoặc chảy mủ quanh vị trí vít, cần xử lý sát trùng và liên hệ bác sĩ ngay vì có thể vít bị lỏng hoặc có nhiễm trùng.
- Tuân thủ theo lịch tái khám định kỳ để kiểm tra độ ổn định vít, giúp quá trình niềng hiệu quả và rút ngắn thời gian điều trị.
Trên đây chúng tôi đã giúp độc giả giải đáp thắc mắc bắt vít niềng răng bao lâu cũng như những trường hợp cần cắm vít niềng răng. Nếu bạn đang có nhu cầu chỉnh nha, hãy liên hệ ngay với Nha Khoa Kim để được chúng tôi tư vấn rõ theo tình trạng răng miệng và được đưa ra giải pháp phù hợp với bản thân.
Mỗi phòng khám thuộc hệ thống Nha Khoa Kim được Sở Y tế các tỉnh thành thẩm định các danh mục kỹ thuật khác nhau. Quý khách sẽ được thực hiện các dịch vụ theo đúng những danh mục kỹ thuật mà Sở Y tế cho phép. Những danh mục khác sẽ được thực hiện tại bệnh viện.