Một nha khoa uy tín TPHCM phải đáp ứng được 15 Tiêu chí Sở Y tế về chất lượng dịch vụ, bác sĩ có chuyên môn và tay nghề giỏi, hệ thống nha khoa có cơ sở vật chất tốt và nhiều máy móc hiện đại để đảm bảo việc thăm khám, điều trị hiệu quả, an toàn. Vậy đâu là nha khoa uy tín TPHCM được xếp hàng cao nhất mà bạn nên chọn?

15 tiêu chí đánh giá chất lượng SYT
Tìm nha khoa uy tín giữa hàng trăm phòng khám hiện nay không hề đơn giản. Bên cạnh nhu cầu làm đẹp nụ cười, khách hàng còn quan tâm đến an toàn điều trị, chuẩn vô trùng, chất lượng phục hình, chế độ bảo hành và chi phí hợp lý.
Trong số các hệ thống nha khoa lớn tại Việt Nam, Nha Khoa Kim là một trong những đơn vị hiếm hoi đáp ứng trọn vẹn 3 giá trị: Đẹp – An toàn – Chi phí hợp lý, với nhiều chi nhánh tại các vị trí trung tâm được Sở Y tế TP.HCM xếp hạng dẫn đầu liên tiếp qua 10 lần công khai xếp hạng tất cả các phòng khám nha khoa đánh giá 15 Tiêu chí chất lượng trên địa bàn TP.HCM đến ngày 10/11/2025

Nha Khi Kim đứng đầu bảng xếp hạng 15 tiêu chí chất lượng khắt khe của Sở Y tế TP.HCM

Nha khoa Kim dẫn đầu liên tục qua 10 lần công bố của Sở Y tế TP.HCM đến nay 10/11/2025
Nội Dung Chính
Cơ sở nha khoa uy tín TPHCM nào được khách hàng lựa chọn?
Tại TP. Hồ Chí Minh, các phòng khám nha khoa rất nhiều, đáp ứng nhu cầu thăm khám và chữa trị răng miệng của đông đảo khách hàng. Nhưng chất lượng giữa các nha khoa lại không đồng đều, vì thế, việc tìm một địa chỉ phòng khám nha khoa uy tín TPHCM là vấn đề mà rất nhiều khách hàng quan tâm.

Các thành viền của ĐH Harvard, quỹ chính phủ Singapore và quỹ Aura và Nha Khoa Kim trong buổi trao đổi chuyên môntại Nha Khoa Kim

Nha khoa Kim đối tác toàn cầu DDH Harvard
Nha Khoa Kim là địa chỉ nha khoa uy tín nhất TPHCM được khách hàng, người dân tại TPHCM rất tin tưởng chọn đến thăm khám và điều trị. Không chỉ là địa chỉ nha khoa nổi tiếng ở TPHCM, Nha Khoa Kim đang có hệ thống hơn 31 chi nhánh trên cả nước, với đa dạng dịch vụ nha khoa từ nha khoa tổng quát tới thẩm mỹ nha khoa, được khách hàng rất tin tưởng và đánh giá cao.
Nếu bạn đang băn khoăn tìm chọn nha khoa nào tốt ở Sài Gòn, Nha Khoa Kim chắc chắn sẽ mang lại cho bạn kết quả điều trị răng miệng hiệu quả, an toàn và hài lòng về mọi mặt kể cả chất lượng lẫn dịch vụ.
Vì sao nhiều người tin tưởng chọn đến với Nha Khoa Kim?
Nha Khoa Kim đáp ứng đầy đủ các tiêu chí và năng lực cả về chuyên môn lẫn cơ sở vật chất, máy móc của một địa chỉ nha khoa uy tín và chất lượng hàng đầu tại Việt Nam. Đây cũng lý do mà đông đảo khách hàng tin tưởng lựa chọn Nha Khoa Kim thuộc top nha khoa uy tín TPHCM về chăm sóc, điều trị và thẩm mỹ răng hàm mặt.
Hệ thống phòng khám nha khoa uy tín tại TPHCM đạt chứng nhận ISO 9001 của Vương Quốc anh và đạt chứng nhận GCR (Hoa Kỳ)
Riêng tại TP. Hồ Chí Minh, Nha Khoa Kim đang có chuỗi các chi nhánh tại nhiều quận huyện, đáp ứng nhu cầu khám chữa bệnh và thuận tiện cho khách hàng trong việc đi lại điều trị. Thiết kế phòng khám răng hàm mặt khang trang, cơ sở vật chất hiện đại, mỗi khách hàng là một phòng điều trị, mỗi khách hàng một bộ đồ khám riêng, đạt tiêu chuẩn nha khoa quốc tế ngay tại Việt Nam có chứng nhận thật.

Nha khoa uy tín giá rẻ TPHCM sở hữu đội ngũ bác sĩ chuyên môn giỏi
Nha Khoa Kim quy tụ hơn 150 bác sĩ chuyên môn giỏi, dày dặn kinh nghiệm và tay nghề cao, tận tâm trực tiếp thăm khám và điều trị cho khách hàng. Với đa dạng các dịch vụ nha khoa, bác sĩ Nha Khoa Kim đều đảm nhiệm thực hiện tốt, kể cả những kỹ thuật, phương pháp khó, phức tạp.
Rất nhiều bác sỹ đã có thời gian công tác, tu nghiệp tại các bệnh viện lớn trên thế giới, am hiểu và chắc tay nghề, kinh nghiệm, giúp giải quyết nhanh chóng các vấn đề về răng miệng, mang tới nụ cười đẹp hoàn thiện và sự tự tin cho khách hàng.

Bác sĩ Nguyễn Hữu Nam – Chủ tịch Hội Đồng Y Khoa Hệ Thống Nha Khoa Kim (bên phải) ký kết Biên bản hợp tác với Hiệu trưởng Trường Đại học Y Dược Huế GS TS Nguyễn Vũ Quốc Huy nhằm nâng cao nguồn lực y tế dưới sự chứng kiến của tất cả các Lãnh đạo các Sở Y Tế, Trường ĐH, Bệnh viện Miền Trung – Tây Nguyên

Nha Khoa Kim Hợp tác toàn diện vơi ĐH NTT

Chủ tịch hội đồng Trường ĐH Nguyễn Tất Thành trao quyết định Phó Trưởng bộ môn Y học & nha khoa tổng quát cho Ths BS Nguyễn Hữu Nam Nha Khoa Kim


Trang thiết bị, máy móc tiên tiến
Nha Khoa Kim đặc biệt chú trọng việc áp dụng các kỹ thuật nha khoa, công nghệ mới vào thăm khám và điều trị, nhằm giúp tăng hiệu quả, tính chính xác cao và sự an toàn cho khách hàng.

Bác sĩ Nguyễn Hữu Nam – Nha Khoa Kim cùng Bác sĩ Keni Kubo (Japan) – Giám đốc điều hành Envista đã cùng có mặt và thực hiện lễ bàn giao ông nghệ hiện đại bậc nhất thế giới trong định vị và cấy ghép răng implant bằng Robot X-Guide công nghệ Hoa Kỳ

Chuyển giao máy Scan Itero lấy dấu rắng Kỹ thuật số niềng răng Invisalign công nghệ Hoa Kỳ
Nhiều thiết bị, máy móc hiện đại được trang bị đầy đủ như Máy X-quang Cone Beam CT 3D, máy X-quang Panorex, Phần mềm răng sứ CAD/CAM 3D, Phần mềm Simplant 3D phân tích cấy ghép Implant, Phần mềm phân tích hàm mặt Vceph 3D…

Nhiều máy móc hiện đại, thiết bị ứng dụng công nghệ cao được đưa vào phục vụ điều trị
Những bảo chứng chất lượng tại Nha Khoa Kim
Chuẩn vô trùng 1 chiều – 8 bước: mỗi khách một bộ dụng cụ
An toàn là yếu tố cốt lõi của một nha khoa uy tín. Nha Khoa Kim đầu tư hệ thống vô trùng trung tâm 1 chiều khép kín:
- Mỗi phòng 1 ghế nha – không nhồi nhiều ghế trong 1 không gian
- Mỗi khách 1 bộ dụng cụ riêng.
- Quy trình vô trùng 8 bước 1 chiều theo chuẩn quốc tế: Làm sạch – Ngâm enzyme – Rung siêu âm – Khử khuẩn – Tiệt khuẩn – Đóng gói – Hấp vô trùng – Lưu trữ

1 phòng khám Nha Khoa Kim tương ứng với một ghế Nha Khoa

Quy trình vô trùng 8 bước 1 chiều theo chuẩn quốc tế
Quy trình này giúp loại bỏ nguy cơ lây nhiễm viêm gan siêu vi, HIV, nấm, ký sinh trùng… kể cả các tác nhân không thể nhìn thấy bằng mắt thường.
Khách hàng tới với Nha Khoa Kim sẽ được thực hiện theo quy trình thăm khám, điều trị riêng. Mỗi khách hàng sẽ sử dụng một phòng nha với ghế nha hiện đại khép kín, sử dụng bộ khay dụng cụ vô trùng riêng, nhằm tránh các vấn đề về sai sót hay nhiễm trùng, lây nhiễm chéo, an toàn cao.

Quy trình tiệt trùng 1 chiều gồm 4 test kiếm định và tiệt trùng tay khoan, kèm cắt kẽm chỉnh nha đúng chuẩn
Cơ sở vật chất & công nghệ nha khoa số
Tại Nha Khoa Kim, khách hàng được thăm khám và điều trị bằng các thiết bị hiện đại:
- Máy CT Cone Beam – X-quang kỹ thuật số
- Oral Scanner – mô phỏng kết quả niềng răng / phục hình trước điều trị
- Robot X-Guide & Máng định vị 3D – hỗ trợ cấy ghép Implant chuẩn xác
- Labo răng sứ tiêu chuẩn quốc tế – kiểm soát nghiêm ngặt nguồn vật liệu
- Hệ sinh thái nha khoa số – tối ưu phác đồ, rút ngắn thời gian và tăng độ chính xác

Bác sĩ Nha Khoa Kim ứng dụng công nghệ Robot X-Guide kết hợp máng định vị để đạt độ chính xác tuyệt đối trong cấy ghép Implant.

Bác sĩ Nha Khoa Kim thực hiện bọc răng sứ thẩm mỹ, kiểm soát đường hoàn tất bằng kính hiển vi nha khoa để đạt kết quả hoàn hảo

Hệ thống Labo thuộc Nha Khoa Kim đảm kiểm soát chất lượng không dùng hàng trôi nổi, nhiễm tạp chất…
Đội ngũ bác sĩ tại Nha Khoa Kim được:
- Đào tạo bài bản tại các trường đại học y khoa trong và ngoài nước
- Cập nhật kiến thức – kỹ thuật mới định kỳ
- Huấn luyện để sử dụng thành thạo công nghệ nha khoa số, kính hiển vi, hệ thống Implant, robot định vị…
Một số hoạt động nổi bật:
- BS Nguyễn Hữu Nam, Chủ tịch Hội đồng Y khoa, ký kết hợp tác đẩy mạnh thế mạnh của 2 bên với Đại học Văn Lang nhằm cung cấp dịch vụ Nha Khoa chất lượng cho người dân
- Tham gia các hội nghị chuyên ngành nhằm nâng cao chất lượng nguồn nhân lực y tế tại Việt Nam

BS Nguyễn Hữu Nam, Chủ tịch Hội đồng Y khoa, ký kết hợp tác toàn diện các thế mạnh của mỗi bên với Đại học Văn Lang
Giải thưởng & ghi nhận thương hiệu
- Nha Khoa Kim được nhiều tổ chức trong và ngoài nước công nhận:
- Thành tựu Y khoa Việt Nam 2024 – Sở Y tế TP.HCM công bố

Nha Khoa Kim vinh dự nhận giải thưởng thành tựu Y khoa Việt Nam 2024
Dịch vụ chuyên nghiệp
Mọi khách hàng đến với Nha Khoa Kim đều được đón tiếp nhiệt tình, chu đáo với đội ngũ nhân viên chuyên nghiệp. Chính sách giá được Nha Khoa Kim xây dựng phù hợp, không phân khúc khách hàng, tương xứng đáng với chất lượng và dịch vụ mà khách hàng có được.
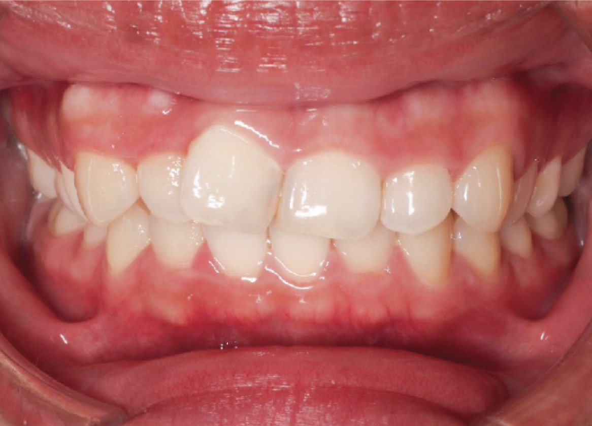
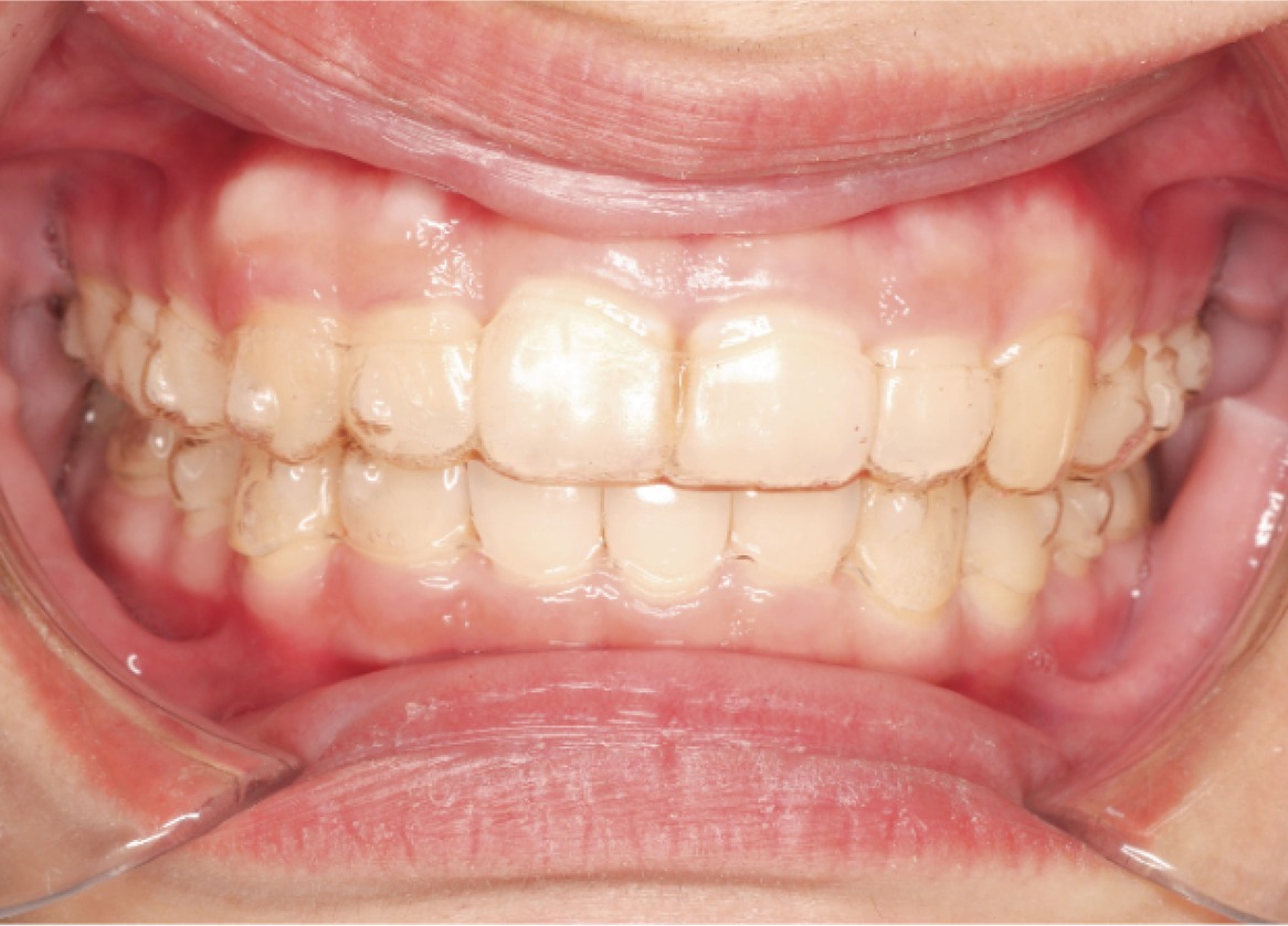
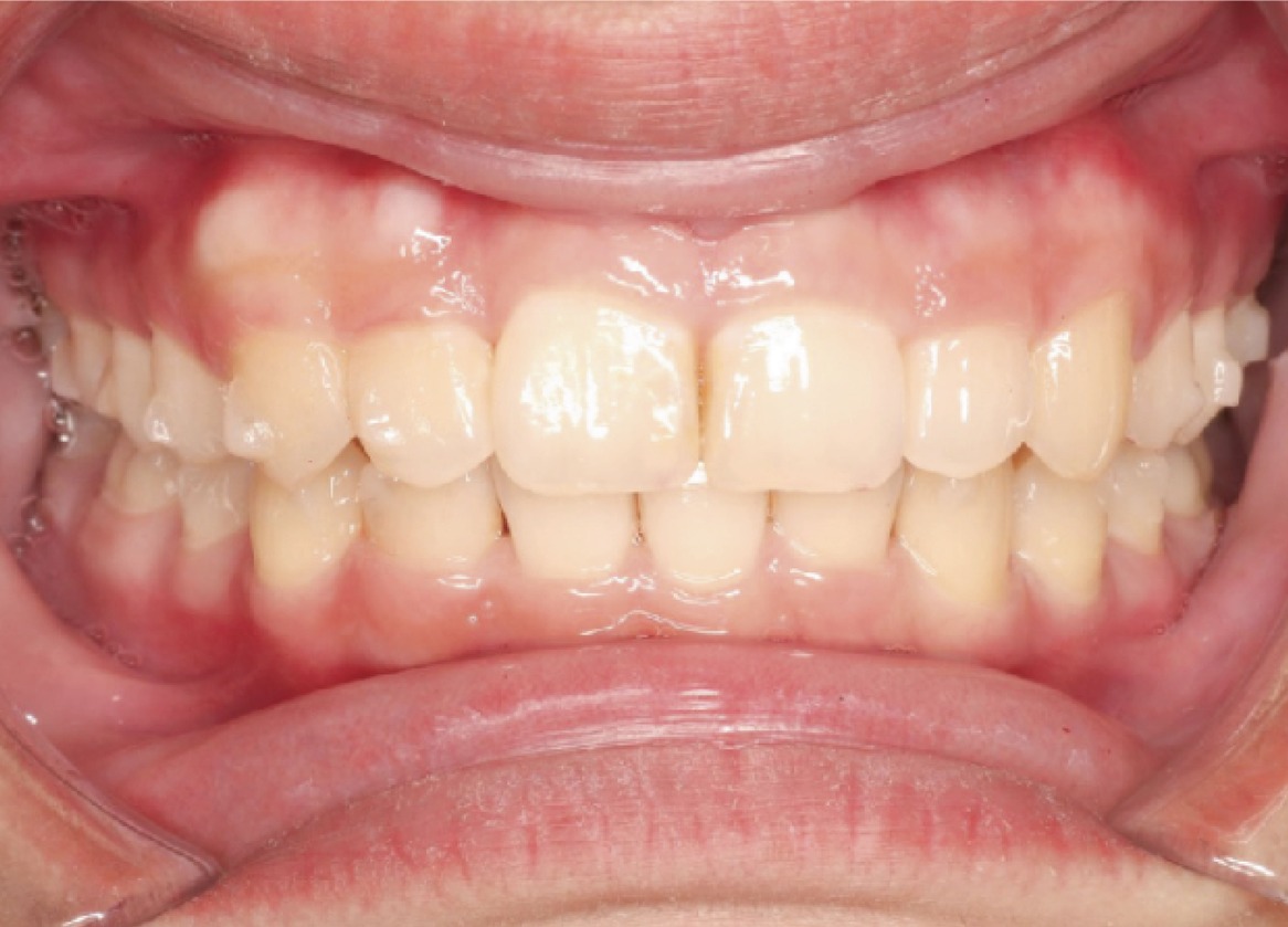
Hình ảnh khách hàng đã điều trị 3 mũi nhọn: Niềng răng, Sứ thẩm mỹ, Implant tại Nha Khoa Kim
Hình ảnh khách hàng niềng răng mắc cài kim loại tại Nha Khoa Kim


Khách hàng niềng răng mắc cài sứ tại Nha Khoa Kim
Hình ảnh khách hàng trước trong và sau niềng răng khay trong Invisalign



Khách hàng sử dụng dịch vụ cấy Implant tại Nha Khoa Kim

Khách hàng Nha Khoa Kim sử dụng dịch cấy Implant

Hình khách hàng cấy ghép Implant tại Nha Khoa Kim
Khách hàng sử dụng dịch vụ dán răng sứ Veneer

Khách hàng sử dụng dịch vụ dán sứ tại Nha Khoa Kim

Khách hàng sử dụng dịch vụ dán sứ Veneer tại Nha Khoa Kim

Hình ảnh khách hàng thực hiện dán sứ Veneer tại Nha khoa Kim
Khách hàng sử dụng dịch vụ bọc răng sứ tại Nha Khoa Kim

Hình khách hàng bọc răng sứ tại Nha Khoa KIm
Để không phải băn khoăn quá nhiều trong việc tìm chọn địa chỉ nha khoa uy tín TPHCM, bạn hãy tới trực tiếp Nha Khoa Kim tại bất cứ chi nhánh nào gần nhất với bạn để thăm quan, tìm hiểu và nhận tư vấn từ bác sỹ. Chắc chắn bạn sẽ hài lòng với quyết định lựa chọn của mình khi tới 24 phòng khám Nha Khoa Kim uy tín tại Tp. HCM:
Địa chỉ nha khoa uy tín tại TPHCM – Nha Khoa Kim
Quận 1
-
Nha Khoa Kim uy tín – 150 – 152 Hai Bà Trưng, P. Đa Kao, Quận 1, TP.HCM
-
Nha Khoa Kim uy tín – A43 – 187A Cống Quỳnh, P. Nguyễn Cư Trinh, Quận 1, TP.HCM
Quận 3
-
Nha Khoa Kim uy tín – 345 Lê Văn Sỹ, P.13, Quận 3, TP.HCM
Quận 5
-
Nha Khoa Kim uy tín – 348 – 350 Nguyễn Trãi, P.7, Quận 5, TP.HCM
Quận 6
-
Nha Khoa Kim uy tín – 410 – 410A – 410B Hậu Giang, P.12, Quận 6, TP.HCM
Quận 7
-
Nha Khoa Kim uy tín – 1401 – 1403 Khu phố Mỹ Toàn 2 – H4 Nguyễn Văn Linh, P. Tân Phong, Quận 7, TP.HCM
-
Nha Khoa Kim uy tín – 493 Nguyễn Thị Thập, P. Tân Phong, Quận 7, TP.HCM
-
Nha Khoa Kim uy tín – 60C Nguyễn Thị Thập, P. Bình Thuận, Quận 7, TP.HCM
Quận 8
-
Nha Khoa Kim uy tín – 829 – 829A Tạ Quang Bửu, P.5, Quận 8, TP.HCM
Quận 10
-
Nha Khoa Kim uy tín – 396 Đường 3 Tháng 2, P.12, Quận 10, TP.HCM
-
Nha Khoa Kim uy tín – 396 – 398 Đường 3 Tháng 2, P.12, Quận 10, TP.HCM
-
Nha Khoa Kim uy tín – 285 Cách Mạng Tháng Tám, P.12, Quận 10, TP.HCM
Quận 12
-
Nha Khoa Kim uy tín – 369A Nguyễn Ảnh Thủ, P. Trung Mỹ Tây, Quận 12, TP.HCM
Quận Bình Thạnh
-
Nha Khoa Kim uy tín – 33 – 35 Lê Văn Duyệt, P.3, Quận Bình Thạnh, TP.HCM
-
Nha Khoa Kim uy tín – 240 – 242 Xô Viết Nghệ Tĩnh, P.19, Quận Bình Thạnh, TP.HCM
Quận Gò Vấp
-
Nha Khoa Kim uy tín – 02 Nguyễn Oanh, P.7, Quận Gò Vấp, TP.HCM
-
Nha Khoa Kim uy tín – 366A25 Phan Văn Trị, P.5, Quận Gò Vấp, TP.HCM
Quận Phú Nhuận
-
Nha Khoa Kim uy tín – 357 Phan Xích Long, P.1, Quận Phú Nhuận, TP.HCM
Quận Tân Bình
-
Nha Khoa Kim uy tín – 304 Cộng Hòa, P.13, Quận Tân Bình, TP.HCM
Quận Tân Phú
-
Nha Khoa Kim uy tín – 586A Lũy Bán Bích, P. Hòa Thạnh, Quận Tân Phú, TP.HCM
TP. Thủ Đức
-
Nha Khoa Kim uy tín – 46A Võ Văn Ngân, P. Trường Thọ, TP. Thủ Đức, TP.HCM
-
Nha Khoa Kim uy tín – 60 – 62 Lê Văn Việt, P. Hiệp Phú, TP. Thủ Đức, TP.HCM
-
Nha Khoa Kim uy tín – 03 Trần Não, P. An Khánh, TP. Thủ Đức, TP.HCM
MSTT : 2011
Mỗi phòng khám thuộc hệ thống Nha Khoa Kim được Sở Y tế các tỉnh thành thẩm định các danh mục kỹ thuật khác nhau. Quý khách sẽ được thực hiện các dịch vụ theo đúng những danh mục kỹ thuật mà Sở Y tế cho phép. Những danh mục khác sẽ được thực hiện tại bệnh viện.