Bạch sản là hiện tượng xuất hiện các mảng trắng bất thường trên niêm mạc, có thể ảnh hưởng đến sức khỏe răng miệng nếu không chú ý. Bài viết sau, Nha Khoa Kim sẽ chia sẻ nguyên nhân, dấu hiệu nhận biết và phương pháp điều trị, giúp bạn chủ động phòng ngừa và chăm sóc hiệu quả.
Nội Dung Chính
Bạch sản là gì?
Bạch sản hay còn gọi là Leukoplakia. Đây là tình trạng các mảng trắng dày lên tại nướu, bên trong má, đáy miệng và lưỡi. Những mảng trắng này hình thành do sự tăng trưởng của các tế bào quá mức. Hầu hết, mảng Leukoplakia đều không phải ung thư, nhưng có một số ít trường hợp chúng chính là dấu hiệu sớm của ung thư.
Bạch sản chia làm hai loại là:
- Bạch sản đồng nhất: Loại này xuất hiện dưới dạng mảng trắng phẳng trong khoang miệng. Bề mặt của mảng bạch sản đồng nhất, có thể nhẵn, có nếp gấp hoặc có đường gờ nhẹ. Đây là dạng lành tính, thường không tiến triển thành ung thư miệng.
- Bạch sản không đồng nhất: Có thể gây ra các mảng màu trắng hoặc đỏ có hình dạng kỳ lạ, không đồng đều trong miệng. Các vùng bị Leukoplakia có thể bằng phẳng hoặc nhô cao. Theo các nghiên cứu, bạch sản không đồng nhất có nguy cơ trở thành ung thư cao.
▷ Tìm hiểu thêm: Mảng trắng trong miệng trẻ: Nguyên nhân và cách khắc phục

Bạch sản là tình trạng xuất hiện mảng trắng bất thường trên niêm mạc miệng
Nguyên nhân dẫn đến bệnh bạch sản
Hiện nay, chưa xác định được chính xác nguyên nhân dẫn đến bệnh Leukoplakia. Tuy nhiên, việc hút thuốc lá và nhai thuốc lá cũng có thể là lý do đầu tiên gây ra bệnh lý này. Bên cạnh đó còn do một số nguyên nhân khác như:
- Chấn thương bên trong má.
- Răng mọc không đồng đều.
- Trồng răng giả, đặc biệt nếu không được lắp đúng.
- Cơ thể bị viêm nhiễm.
- Virus Epstein-Barr (EBV). Đây là nguyên nhân chính gây ra bạch sản lông và chúng sẽ nằm vĩnh viễn trong cơ thể.
Dấu hiệu nhận biết bệnh bạch sản
Việc nắm bắt các triệu chứng đặc trưng sau sẽ giúp bạn phát hiện bệnh sớm và chủ động can thiệp.
- Xuất hiện các vết lở loét ở nướu, má trong, dưới nền miệng hoặc đôi khi là trên lưỡi.
- Xuất hiện các mảng màu trắng hoặc không không thể tẩy sạch, mảng trắng có cấu trúc bất thường hoặc phẳng.
- Có cảm giác dày hoặc cứng trong khoang miệng.
- Bạch sản đỏ (hồng sản) xuất hiện dưới dạng các tổn thương màu đỏ. Đây là dấu hiệu cảnh báo tiềm ẩn những thay đổi tiền ung thư.
- Bạch sản dạng lông có các mảng trắng mờ hình dạng giống nếp gấp hoặc đường lằn ở hai bên đầu lưỡi hoặc các nấm màu trắng. Dấu hiệu này thường gặp ở bệnh nhân hệ miễn dịch suy yếu do thuốc hoặc bệnh tật, nhất là những người mắc HIV/AIDS.
▷ Xem ngay: 20+ Hình ảnh nấm lưỡi ở trẻ giúp mẹ nhận biết bệnh lý sớm

Các dấu hiệu thay đổi trên niêm mạc có thể cảnh báo tình trạng của bệnh
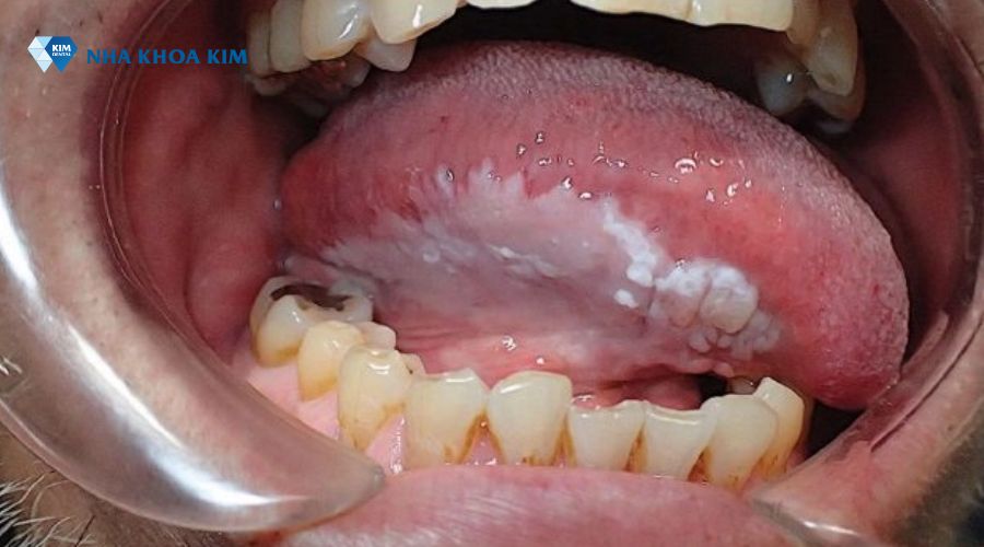
Hình ảnh bệnh bạch sản
Để minh họa rõ hơn, Nha Khoa Kim chia sẻ một số hình ảnh thực tế, giúp bạn nhận diện các mảng trắng bất thường.

Hình ảnh mảng trắng đặc trưng của bệnh Leukoplakia trong khoang miệng

Hình ảnh cận cảnh tổn thương bạch sản lưỡi

Hình ảnh thực tế giúp nhận biết sớm dấu hiệu bạch sản miệng

Các vùng niêm mạc trắng đục là dấu hiệu điển hình của Leukoplakia

Ảnh minh họa tình trạng niêm mạc dày, trắng đục
Cách điều trị bệnh bạch sản
Dưới đây là những phương pháp điều trị bạch sản được áp dụng phổ biến, giúp kiểm soát tình trạng và bảo vệ sức khỏe răng miệng.
Điều trị bằng thuốc
Bạn có thể tham khảo phương pháp dùng thuốc trong điều trị bệnh, hỗ trợ giảm mảng trắng và phòng ngừa biến chứng tiềm ẩn.
- Dùng retinoids đường uống giúp làm giảm các tổn thương. Tuy nhiên cần lưu ý đến tác dụng phụ.
- Sử dụng vitamin A và beta-carotene đường uống giúp làm sạch mảng trắng, nhưng nếu ngừng dùng chúng sẽ xuất hiện trở lại.
- Sử dụng thuốc kháng virus làm các mảng bám biến mất, nhất là với bệnh bạch sản dạng lông. Bác sĩ có thể đề nghị bệnh nhân thoa thuốc lên các mảng bám.
- Dùng thuốc mỡ bôi có chứa axit retinoic để làm giảm kích thước của vết loét.
Điều trị bạch sản ngoại khoa
Đối với điều trị bằng ngoại khoa, bác sĩ có thể chỉ định một trong các phương pháp sau:
- Phẫu thuật: Loại bỏ trực tiếp các mảng tổn thương trong miệng. Tuy nhiên, phương pháp này vẫn có khoảng 10 – 20% khả năng tái phát và 3 – 12% nguy cơ tiến triển thành ung thư tại vùng đã điều trị.
- Điều trị bằng phương pháp Laser: Sử dụng tia laser để loại bỏ mảng trắng bạch sản.
- Sử dụng liệu pháp quang động: Dùng thuốc đặc trị ung thư được kích hoạt bằng ánh sáng để tiêu diệt tế bào bất thường.
- Điều trị bằng phương pháp áp lạnh: Loại bỏ tổn thương bằng cách đông lạnh vùng niêm mạc bị ảnh hưởng.
- Phương pháp đốt điện: Sử dụng kim đốt nóng hoặc thiết bị điện chuyên dụng để phá hủy vùng tổn thương.
▷ Đọc thêm về: Lưỡi trắng là bệnh gì? Nguyên nhân và cách điều trị lưỡi trắng

Các phương pháp điều trị bệnh Leukoplakia phổ biến
Câu hỏi thường gặp
Dưới đây là giải đáp những thắc mắc phổ biến sẽ cung cấp thêm kiến thức hữu ích giúp bạn chăm sóc sức khỏe răng miệng toàn diện.
Bạch sản miệng có nguy hiểm không?
Bệnh này không nguy hiểm cũng như không gây hại cho cơ thể. Tuy nhiên, một số trường hợp bệnh diễn biến xấu, chúng có thể chuyển thành ung thư miệng và kéo theo các vấn đề sức khoẻ khác.
Bạch sản miệng có lây không?
Bệnh Leukoplakia miệng hoàn toàn không lây nhiễm từ người này sang người khác. Do đó, bạn không cần lo lắng về việc lây bệnh khi tiếp xúc với người khác.
Ai có thể mắc bạch sản?
Thường gặp ở nam giới, phổ biến là ở độ tuổi 50 – 70. Ngoài ra, những người thường hút thuốc lá, uống rượu bia, sử dụng chất kích thích có tỷ lệ mắc bệnh cao hơn.
Phòng ngừa bệnh bạch sản miệng như thế nào?
Sau đây là những cách phòng ngừa bệnh, giúp bảo vệ sức khỏe răng miệng và giảm nguy cơ xuất hiện mảng trắng bất thường.
- Không hút thuốc lá để tránh mầm mống bệnh phát triển.
- Không dùng các thức uống có cồn (rượu, bia) hay chất kích thích.
- Ăn nhiều rau xanh, hoa quả tươi giúp giảm nguy cơ mắc bệnh.
- Thăm khám bác sĩ để kịp thời phát hiện bệnh, đồng thời có phương pháp điều trị phù hợp, hiệu quả.
Bạch sản là tình trạng xuất hiện các mảng trắng bất thường trên niêm mạc răng miệng. Do nhiều nguyên nhân khác nhau và có dấu hiệu dễ nhận biết nếu quan sát kỹ. Bài viết trên đã chia sẻ nguyên nhân, dấu hiệu, hình ảnh minh họa và các phương pháp điều trị hiệu quả. Liên hệ Nha Khoa Kim ngay để được thăm khám và chăm sóc, giúp kiểm soát bệnh và duy trì nụ cười khỏe mạnh.
Mỗi phòng khám thuộc hệ thống Nha Khoa Kim được Sở Y tế các tỉnh thành thẩm định các danh mục kỹ thuật khác nhau. Quý khách sẽ được thực hiện các dịch vụ theo đúng những danh mục kỹ thuật mà Sở Y tế cho phép. Những danh mục khác sẽ được thực hiện tại bệnh viện.