Trám răng thẩm mỹ ở đâu tốt nhất? Tham khảo ý kiến chuyên gia
Trám răng thẩm mỹ ở đâu tốt nhất? Tham khảo ý kiến chuyên gia
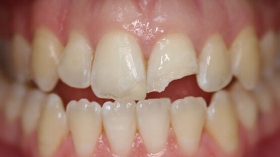
Trám răng thẩm mỹ ở đâu tốt là thắc mắc mà rất nhiều khách hàng hiện nay quan tâm, bởi nó chính là yếu tố đầu tiên quyết định đến sự thành công của ca phục hình răng. Cùng tham khảo bài viết sau đây để có được câu trả lời chính xác nhất cho thắc mắc trên nhé! Trám răng thẩm mỹ ở đâu tốt nhất? Tham khảo ý kiến chuyên gia Trám răng thẩm mỹ là phương pháp phục hình...