Ảnh hưởng sâu răng như thế nào tới sức khỏe răng miệng
Ảnh hưởng sâu răng như thế nào tới sức khỏe răng miệng
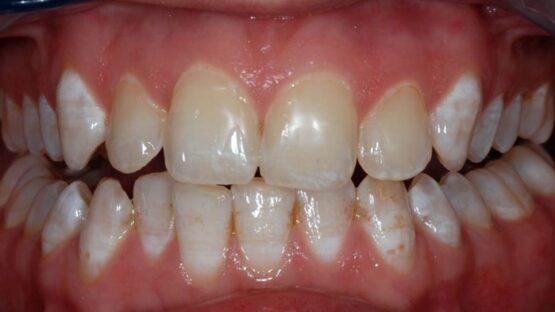
Sâu răng là một dạng bệnh lý thường gặp ở nhiều người hiện nay. Hiểu được nguyên nhân và hậu quả mà bệnh gây ra, sẽ giúp bạn sớm tìm được phương pháp điều trị phù hợp, tránh những ảnh hưởng sâu răng tới sức khỏe răng miệng. Ảnh hưởng sâu răng thế nào tới sức khỏe?  Sâu răng là tình trạng chung của nhiều người hiện nay mà biểu hiện rõ nhất chính là những lỗ sâu li ti xuất hiện...